Revolutionärer Schwangerschaftstest: Vegan, tierversuchsfrei und nachhaltig aus Algen

Klaus-Dieter Stahr
Klaus-Dieter Stahr
2 Min.
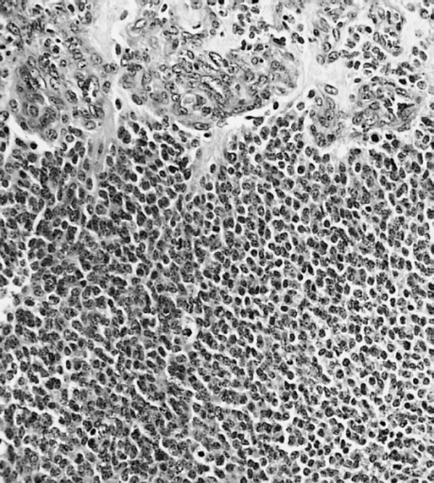
Ein schwarz-weißes mikroskopisches Bild einer kleinen Zellgruppe, die mit Anti-PFA1-Antikörper und BSA gefärbt ist.Klaus-Dieter Stahr

Revolutionärer Schwangerschaftstest: Vegan, tierversuchsfrei und nachhaltig aus Algen

Ein Start-up der Leibniz Universität Hannover könnte die medizinische Diagnostik revolutionieren – mit einem neuartigen Schwangerschaftstest. Das Unternehmen Phaeosynt hat die erste vegane und komplett tierversuchsfreie Variante entwickelt, die auf Algenbasierte Technologie setzt. Bereits zwei Patente wurden angemeldet, und die Finanzierung für die Markteinführung steht.

Phaeosynt spezialisiert sich auf die Herstellung von Antikörpern aus Kieselalgen (Diatomeen), einer Mikroalgenart. Im Gegensatz zu herkömmlichen Verfahren, die auf tierische Zellen angewiesen sind, spart dieser Ansatz Energie, Platz und Transportkosten. Da Kieselalgen bei niedrigeren Temperaturen wachsen, ist das Verfahren deutlich nachhaltiger.

Die Deutsche Bundesstiftung Umwelt (DBU) fördert das Projekt mit 125.000 Euro. Ihre Unterstützung unterstreicht das Potenzial der Technologie, Umweltbelastungen zu verringern und gleichzeitig ethische Standards zu erfüllen. Der erste Produkt des Start-ups – ein Schwangerschaftstest – zeigt, wie aus Kieselalgen gewonnene Antikörper tierische Testverfahren in der Diagnostik ersetzen können.

Doch Phaeosynt denkt bereits weiter: Geplant sind über 20 weitere medizinische Produkte, darunter Tests für Infektionskrankheiten, Krebs, Herz-Kreislauf-Erkrankungen sowie schnelle Point-of-Care-Diagnostik. Langfristig will das Unternehmen die Antikörperproduktion für medizinische Anwendungen grundlegend verändern.

Der neue Schwangerschaftstest ist Phaeosynts erster Schritt in einen Markt, der bisher stark von tierbasierten Methoden abhängt. Mit zwei angemeldeten Patenten und der DBU-Förderung bereitet sich das Start-up nun auf den Marktstart vor. Gelingt der Durchbruch, könnte die Technologie die medizinische Diagnostik neu definieren – bei gleichzeitig niedrigeren Kosten und geringerer Umweltbelastung.

Neueste Nachrichten
Ein Schwarz-Weiß-Bild einer Gruppe von Männern, die auf einem Feld Fußball spielen, mit Zuschauern im Hintergrund und einem Banner mit der Aufschrift 'Bundesliga 1978-79 Ajax 1-1 Hannover 96.'
Champions League 2 Min.

Bayerns neue Champions-League-Hymne feiert Premiere vor Atalanta-Duell

Eine Hymne als Glücksbringer? Leslie Mandokis "Road to Budapest" soll Bayerns Traum vom Finale in seiner Heimatstadt beflügeln. Doch erst muss Atalanta Bergamo bezwungen werden.

Eine Baustelle mit einem großen Haufen roter Rohre auf dem Boden, umgeben von Eisenstangen, Steinen und anderen Gegenständen, mit Fahrzeugen, hölzernen Gegenständen und einer Wand im Hintergrund.
Klimawandel 2 Min.

Innovativer Lichtbogenofen in Salzgitter spart tausende Tonnen CO₂ ein

Ein 13 Meter tiefer Bunker, 110 Mega-Pfähle und ein Gelfundament: Wie Salzgitter mit radikalen Bauinnovationen die Stahlherstellung revolutioniert. Die Bilanz? Weniger Beton, weniger Emissionen – ohne Kompromisse bei der Stabilität.

Ein gerahmtes Bild der Wahlkreise Bayern, das die Provinzen von Deutschland und Österreich zeigt.
Europäische Ligen 2 Min.

Vom Torwart zum Kommunalpolitiker: Andreas Luthes überraschender Aufstieg in Stadtbergen

Ein Torwart, der jetzt Paragraphen statt Bälle pariert. Wie Andreas Luthe nach seiner Karriere beim VfL Bochum plötzlich in der Kommunalpolitik landet – und warum das kein Zufall ist.

Ein Plakat mit Text über Preisunterschiede von Arzneimitteln im Jahr 2022, darunter ein paar Flaschen und eine Spritze.
Wirtschaft 3 Min.

Pharma-Streit auf der Handelsblatt-Tagung: Ist Europas Arzneiversorgung in Gefahr?

Lagerbestände reichen nicht, warnen Pharma-Hersteller. Doch Krankenkassen wiegen sich in Sicherheit – während Indien als kritischer Engpass bleibt.

Ein gerahmtes Plakat zum 70-jährigen Jubiläum des Kaiser-Huldigungsfestes in Berlin, Deutschland, das eine Gruppe von Menschen in der Mitte zeigt, umgeben von Text und Zahlen.
Bücher 2 Min.

26. Juni 2026: Warum dieser Freitag der Traumtag für Pärchen in MV ist

Ein Datum, eine Welle der Liebe: Warum sich Brautpaare in MV um diesen einen Freitag reißen. Doch wer zu spät kommt, geht leer aus – die Uhr tickt.

Ein rundes Patch mit blauem Hintergrund und weißer Umrandung, auf dem der weiße Text 'United States Navy Chaplain Corps' in der Mitte steht.
Unfälle 2 Min.

Solingens Notfallseelsorge kämpft um Finanzierung nach 30 Jahren ehrenamtlicher Krisenhilfe

Sie sind immer da, wenn die Seele brennt: Solingens Notfallseelsorger. Doch ohne mehr Spenden und Fördermitglieder könnte ihr lebenswichtiger Dienst bald an Grenzen stoßen.

Ein Plakat mit Text und Bildern von Windmühlen, das den Fortschritt der sauberen Energie- und Offshore-Windindustrie in Amerika seit der Amtseinführung von Präsident Biden hervorhebt.
Energie 2 Min.

Windkraft-Streit eskaliert: European Energy setzt Turbine gegen Gemeindewillen in Betrieb

Eine stillgelegte Windturbine läuft plötzlich wieder – gegen den Willen der Gemeinde. Doch wer hat recht im Kampf um Energy in Krisenzeiten? Die Antwort könnte Gerichte beschäftigen.

Eine Gruppe von Polizisten steht vor einem Gebäude mit Fenstern, umgeben von Fahrzeugen, einem Zaun, Bäumen und Pflanzen, mit Ziegelsteinen und einem Helm im Vordergrund, wahrscheinlich nach einer Bombenexplosion in Mexiko-Stadt.
Kriminalität und Justiz 1 Min.

Fahrer flüchtet nach Crash mit Lieferwagen in Northeim

Ein spektakulärer Unfall in der Northeimer Innenstadt endet mit einer Flucht. Warum der Fahrer jetzt mit harten Strafen rechnen muss.

Neueste Nachrichten